Dr. Kate Dudek • January 2, 2019 • 5 min read
The word fat has all sorts of negative connotations; it is difficult to imagine a scenario where being described as ‘fat’ would be considered a compliment! Most of us strive to keep our body fat to a minimum, and that is, in general, a good thing. However, it is important to note that not all fat is bad; indeed, it can play a very important role in keeping the body healthy.
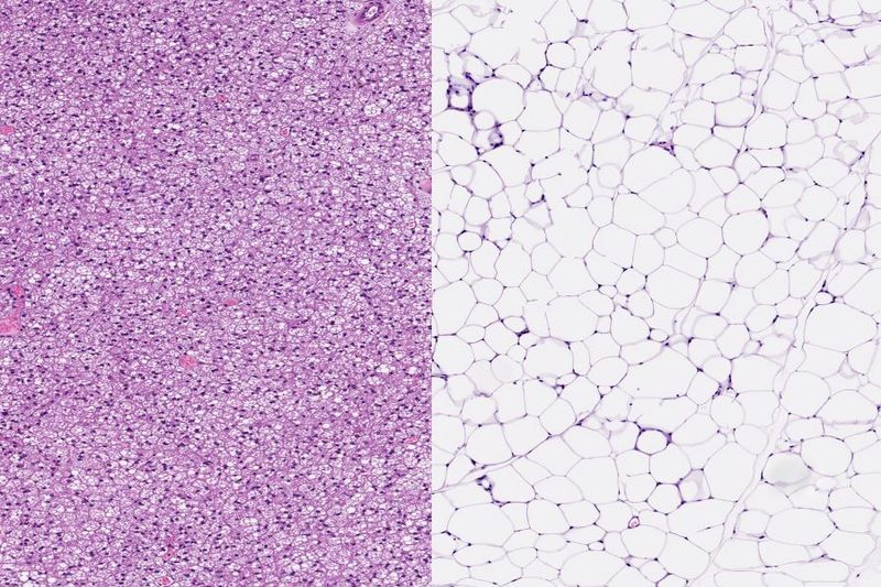
Brown fat, or brown adipose tissue (BAT), is commonly known as ‘good fat’. It is comprised of adipocytes (fat cells) containing small lipid droplets. BAT has a very rich blood supply, and its cells contain multiple iron-containing mitochondria (organelles responsible for energy production), which gives it its brownish hue. BAT comes from muscle tissue, and is responsible for converting chemical energy (food) into thermal energy (heat). It is typically located around the neck and upper back. Higher levels are found in infants and hibernating animals, with levels falling as we age. Those who do maintain high levels of BAT are generally younger, more slender and more active. This is due, in part, to exercise generating increased BAT; the high numbers of mitochondria making it very metabolically active;
Take Nabta’s Cholesterol and lipids test and try our sustainable selfcare pack for better a lifestyle.
White fat, or white adipose tissue (WAT), is comprised of cells with large lipid droplets,very few mitochondria and minimal blood vessels, resulting in a lighter, more yellow colour. It is the most predominant form of fat in the body, originating from connective tissue. Whilst an excess of WAT is not good, moderate levels do help to reserve energy and protect the internal organs. WAT produces several proteins and hormones, most notably leptin, which is known to modulate appetite and stress levels, amongst other things. It also produces several pro-inflammatory factors, which explains why obesity is often associated with other immune-related disorders. Excessive WAT is also associated with the development of heart disease, type 2 diabetes, cancer, and inflammatory disease. Additional white fat is generated by consuming more calories than your body is able to burn, either naturally or via exercise.
The ideal scenario is to increase the levels of BAT and reduce WAT, which will improve an individual’s metabolism and weight management, as well as decreasing the likelihood of chronic complications associated with high WAT levels. This can be done by the consumption of a balanced diet that is rich in iron and polyunsaturated fatty acids (eg Omega 3 and 6), and by being physically active. In fact, several studies have suggested that WAT is actually plastic, and can turn into BAT under certain physiological conditions such as exercise, in a phenomenon termed ‘adipose browning’.
Sources:

Find out why toddler want to be naked and get simple tips to manage it calmly, including sensory needs, new skills, and setting routines, The toddler years are marked by a variety of developmental milestones, one of which is the ability to dress and undress independently. While this new skill can be exciting for children, it can often [lead](https://nabtahealth.com/glossary/lead/) to inconvenient or embarrassing situations for parents, such as toddlers wanting to be naked all the time. However, this behavior is quite common and typically not a cause for concern. Why Toddlers Want to Be Naked ----------------------------- * **Sensory Input:** The main possible reasons toddlers like to keep naked include sensory input. Clothing such as seams within socks or shirt tags may be uncomfortable for a child, and this sensation of discomfort may make them remove their clothes frequently. If you suspect the child is extremely sensitive to a trivial input, it may indicate a problem like sensory processing disorder, for which the pediatrician can be consulted. * **Undressing as an Achievable Developmental Milestone**: One needs to consider that this might be one of the primary ways a toddler achieves a milestone in their development. They may feel proud of their new skill and want to share it with others, no matter how frustrating this may be for the parent. * **Attention Seeking**: The toddler may sometimes undress for attention; this is particularly true if the parent responds strongly to the behavior. The reaction from a frustrated or embarrassed parent may elicit persistence in undressing with the child to get some form of response. This, therefore, means that how parents react significantly influences behavior. How to Handle Your Toddler’s Nakedness -------------------------------------- * **Stay calm**: Parents should not react humiliatingly to the child instead of getting angry but may respond calmly with no humiliating remarks. The parents may tell their children how good they are at undressing and ask them to wear their clothes. This should be responding neutrally to avoid further exaggeration of the behavior. You might try dialogue like, “Wow! Terrific. I can see you undress yourself like a big kid. Can you get dressed now and show me how you do that?” By acting like the undressing is no more of a big deal than dressing, this may stop the problem in its tracks. * **Allocate Times to be Undressed**: At times, parents will find it beneficial to establish times when the toddler can be undressed, such as in preparation for bath time or within the confines of the home. More often than not, these organized opportunities will enable toddlers to feel less anxious and content with the parameters that have been established. * **Remember, It’s Just a Phase**: Like most [phases of development](https://nabtahealth.com/article/qa-with-raquel-anderson-brain-development-in-a-12-month-old/), the compulsion to be naked shall pass. Children do appear to grow out of it eventually, and parents need a little patience and understanding. **References:** 1.A. R. Turner, P. S. Thompson, “Sensory Processing and the Toddler Years: A Study of Early Childhood Sensory Experiences,” Journal of Developmental Psychology, 2023. 2.M. E. Calloway, J. L. Roberts, “Undressing as a Developmental Milestone in Early Childhood,” Infant and Toddler Development Journal, 2024. 3.S. D. Harris, “Understanding Toddler Behavior: Reactions to Nakedness and Sensory Sensitivity,” Parenting Psychology Quarterly, 2024. 4.L. B. Wilkins, “How to Respond to Common Toddler Behaviors: Positive Guidance Techniques,” Journal of Child Development and Parenting, 2023. **Sources:** * What To Expect * Undressing (preferring to be naked). [American Academy of Pediatrics](https://www.aap.org/) * Emotional Development in Preschoolers. Powered by Bundoo®

Garlic oil helps cure ear infections, natural [treatments](https://nabtahealth.com/) such as garlic oil are highly recommended as possessing antibacterial and antiviral properties. But does garlic oil live up to its reputation? The Science Behind Garlic and Ear Infections -------------------------------------------- Garlic has been used as a natural remedy for several centuries to cure various infections, among other ailments. The active ingredient, allicin, has been shown to exhibit antibacterial and antiviral properties that can help with the symptoms of an ear infection. A few studies confirm that allicin decreases the presence of certain bacteria and viruses, thus assisting in resolving the ear infection sooner. Yet anatomically, the ear makes this problematic as the tympanic membrane, or eardrum, acts to prevent direct delivery of oil or drops to the area of the middle ear where infections occur.  Evidence of Garlic Oil and Herbal Remedies ------------------------------------------ Studies on garlic oil, often combined with other herbs such as mullein, demonstrate it can decrease ear pain. A review published in 2023 reported that herbal ear drops, including those containing garlic, relieved pain in subjects with acute otitis media. However, researchers pointed out that while garlic oil may grant some advantages in the feeling of discomfort, its effect on the infection is limited by the eardrum barrier. Most infections will still self-resolve, but garlic oil can offer a natural alternative for pain management. Some studies in 2023 and 2024 also report that herbal extracts, including garlic, reduce dependence on heavy pain medications. Garlic is relatively cheaper and easier to access in herbal drops, particularly in many settings where prescription ear drops are not available. Safety and Proper Application of Garlic Oil ------------------------------------------- Being a potentially palliative resource, garlic needs to be used in the right manner. Experts advise against putting pure or undiluted garlic oil into the ear, as this can be too harsh and thus irritate or even injure sensitive ear tissue. Garlic extracts in commercially prepared herbal ear drops are recommended for use in the ear. In these products, garlic would have been diluted to safe levels while still being beneficial. Seeing a Health Professional ---------------------------- Consulting a health professional beforehand is very important when using garlic oil or any other herbal remedy against ear infections. Sometimes, ear infections result in complications, especially when not treated properly, and might cause recurrence. A healthcare provider will best help assess whether garlic oil or any other remedy may be indicated for each case and may recommend the safest treatment. Possible Benefits of Garlic Oil for Ear Health ---------------------------------------------- * Natural Pain Relief: Garlic oil’s antimicrobial and anti-inflammatory action soothes ear pain. * Cost-Effective: Garlic-based herbal remedies are generally cheaper than several prescription-based ear drops. * Readily Available Option: Garlic oil is readily available at health stores and can be ordered online. Current Research and Future Directions -------------------------------------- Herbal remedies, such as garlic oil, are still under research, especially for their role in pain relief and supporting natural recovery in light ear infections. Other studies investigate more advanced formulations that could let active compounds bypass the eardrum more effectively, thus giving a chance for enhanced effectiveness against middle-ear infections without the use of antibiotics. Key Takeaways ------------- * In effect, it has a minimal impact on the infection. It does not cure the disease but helps with earache because the membrane prevents the oil from reaching the middle ear. * Only use mild formulations. Commercially prepared herbal ear drops are very good compared to undiluted garlic oil. This is done to prevent irritation. * Consult a professional. Consult your health provider before this natural remedy, especially if you have recurring symptoms. References 1.Johnson, L., & Patel, R. (2023). [The Role of Herbal Remedies in Treating Ear Pain](https://pubmed.ncbi.nlm.nih.gov/): A Focus on Garlic Oil. Journal of Complementary Medicine, 61(2), 102-115. 2.Sharma, D., & Lee, H. (2024). Evaluating Garlic Extract for Natural Pain Relief in Ear Infections. Advances in Integrative Health, 42(1), 89-99. 3.Verhoeven, E., & Kim, S. (2023). Garlic and Herbal Extracts in Ear Infection Management. Health and Wellness Journal, 23(4), 167-178.

Your new baby has arrived, and you are eager to get back into shape. However, [losing weight after pregnancy](https://nabtahealth.com/articles/7-healthy-eating-tips-for-postpartum-weight-loss/) takes time and patience, especially because your body is still undergoing many hormonal and metabolic changes. Most women will lose half their baby weight by 6-weeks postpartum and return to their pre-pregnancy weight by 6 months after delivery. For long-term results, keep the following tips in mind. Prior to beginning any diet or exercise, [please consult with your physician](https://nabtahealth.okadoc.com/). 1\. **Dieting too soon is unhealthy.** Dieting too soon can delay your recovery time and make you more tired. Your body needs time to heal from labor and delivery. Try not to be so hard on yourself during the first 6 weeks postpartum. 2\. **Be realistic**. Set realistic and attainable goals. It is healthy to lose 1-2 pounds per week. Don’t go on a strict, restrictive diet. Women need a minimum of 1,200 calories a day to remain healthy, and most women need more than that — between 1,500 and 2,200 calories a day — to keep up their energy and prevent mood swings. And if you’re nursing, you need a bare minimum of 1,800 calories a day to nourish both yourself and your baby. 3\. **Move it**. There are many benefits to exercise. Exercise can promote weight loss when combined with a reduced calorie diet. Physical activity can also restore your muscle strength and tone. Exercise can condition your abdominal muscles, improve your mood, and help prevent and promote recovery from postpartum depression. 4\. **Breastfeed**. In addition to the many benefits of breastfeeding for your baby, it will also help you lose weight faster. Women who gain a reasonable amount of weight and breastfeed exclusively are more likely to lose all weight six months after giving birth. Experts also estimate that women who breastfeed retain 2 kilograms (4.4 pounds) less than women who don’t breastfeed at six months after giving birth. 5\. **Hydrate**. Drink 8 or 9 cups of liquids a day. Drinking water helps your body flush out toxins as you are losing weight. Limit drinks like sodas, juices, and other fluids with sugar and calories. They can add up and keep you from losing weight. 6. **Don’t skip meals**. Don’t skip meals in an attempt to lose weight. It won’t help, because you’ll be more likely to binge at other meals. Skipping meals will also make you feel tired and grouchy. With a new baby, it can be difficult to find time to eat. Rather than fitting in three big meals, focus on eating five to six small meals a day with healthy snacks in between. 7\. **Eat the rainbow.** Stock up on your whole grains, fruits, and vegetables. Consuming more fruits and vegetables along with whole grains and lean meats, nuts, and beans is a safe and healthy diet. ose weight after postpartum Is one of the biggest challenge women face worldwidely. Different Expertise and studies indicated that female might lose approximately 13 pounds’ weight which is around 6 KG in the first week after giving birth. The essential point here is that dieting not required for losing the weight, diet often reduce the amount of some important vitamins, minerals and nutrients. **Here are seven tips from the professional nutritionist perspective that can be considered for losing weight after postpartum these are;** 2\. Considered food like fish, chicken, nuts, and beans are excellent sources of protein and nutrients. 3\. A healthy serving of fat, such as avocado, chia seeds or olive oil 4\. With the balance diet please consider to drink plenty of water to stay hydrated. 5\. Regular exercise helps to shed extra pounds and improve overall health. 6\. Fiber-rich foods should be included to promote digestive health and support weight loss efforts. 7\. Don’t forget about self-care. By making these dietary changes and incorporating physical activity, you can achieve postpartum weight loss sustainably and healthily. **Sources:** * Center for Disease and Control and Prevention * Healthy Weight: it’s not dieting, it’s a lifestyle. Obstetrics and Gynecology * The risks of not breastfeeding for mothers and infants. The American College of Obstetrics and Gynecologists * Guidelines of the American College of Obstetricians and Gynecologists for exercise during pregnancy and the postpartum period. Powered by Bundoo®